Maladie de Berger
ESPACES THÉMATIQUES
Maladie de Berger
Maladies rares
La maladie de Berger
En savoir plus sur les néphropathies glomérulaires
La maladie de Berger ou glomérulonéphrite à dépôts mésangiaux est décrite depuis 1968. Cependant elle demeure une maladie rare dont on ignore les causes exactes. Si elle peut être asymptomatique au début, elle peut néanmoins conduire à une insuffisance rénale. Il est donc essentiel d’être au fait des dernières informations sur sa prise en charge. Notre nouvel espace thématique vous permettra d’en savoir plus sur la maladie de Berger grâce au Professeur Alamartine.
Pr Alamartine
Néphropathie à IgA
Le Pr Eric Alamartine évoque un meilleur dépistage et une meilleure orientation des patients vers les centres de référence / compétence.
Fiche de synthèse
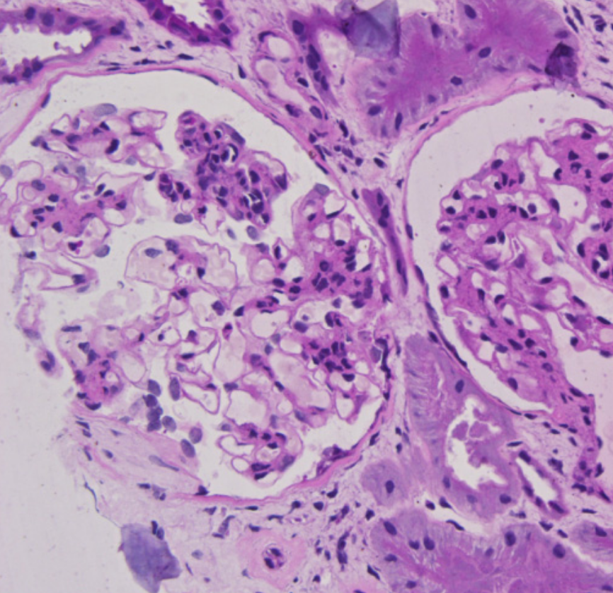
Histologie
Bibliographie
IgA nephropathy.
Wyatt RJ, Julian BA.N Engl J Med. 2013 Jun 20;368(25):2402-14. doi: 10.1056/NEJMra1206793.PMID: 23782179 Review. 
Oxford Classification of IgA nephropathy 2016: an update from the IgA Nephropathy Classification Working Group.
Trimarchi H, Barratt J, Cattran DC, Cook HT, Coppo R, Haas M, Liu ZH, Roberts IS, Yuzawa Y, Zhang H, Feehally J; IgAN Classification Working Group of the International IgA Nephropathy Network and the Renal Pathology Society; Conference Participants.Kidney Int. 2017 May;91(5):1014-1021. doi: 10.1016/j.kint.2017.02.003. Epub 2017 Mar 22.PMID: 28341274 
Toute la bibliographie
Les centres de référence

Trouver un centre
Un centre de référence pour une maladie rare ou un groupe de maladies rares regroupe des compétences pluridisciplinaires hospitalières organisées autour d’une équipe médicale hautement spécialisée ayant une expertise avérée pour ces maladies dans les domaines des soins, de la recherche et de la formation. Il intègre des savoir-faire et des compétences pluri professionnelles dans les domaines paramédicaux et sociaux.
Vous pouvez utiliser la carte créée par la Filière ORKID  afin d’identifier le centre de référence et de compétence le plus proche et le plus adapté à vos patients.






